Giải đáp thắc mắc khi cấy
Implant tại Nha Khoa Lee Merci

Trồng răng Implant có đau không?

Cấy ghép Implant được thực hiện đúng quy trình với các thao tác đạt chuẩn, tiêm thuốc tê đúng mức đảm bảo không đau không gây hại cho người bệnh.

Theo khảo sát chia sẻ của rất nhiều khách hàng trồng răng tại Nha khoa Lee Merci trồng răng Implant không hề đau, ngay cả khi gây tê.

Trồng răng Implant mất bao nhiêu thời gian?

Cấy ghép Implant mất bao lâu sẽ tùy thuộc vào: tình trạng sức khỏe, số lượng răng mất, mức độ tiêu xương,… Thời gian trồng trụ Implant vào xương chỉ mất 30 phút, sau đó chờ từ 4 tháng để trụ Implant tích hợp tốt với xương hàm và nướu. Tùy vào mỗi trường hợp mất răng mà Bác sĩ sau khi thăm khám mới đánh giá và xác định được trồng răng Implant mất bao lâu.

Trường hợp nào có thể trồng răng Implant?

Trồng răng Implant là phương pháp tối ưu nhất để thay thế răng đã mất. Và hoàn toàn phù hợp với những trường hợp: (1) Mất 1 răng đơn lẻ (2) Mất từ 2 răng trở lên và các răng mất nằm liền kề nhau (3)Các răng mất nằm ở các vị trí không kế cận nhau (4) Mất răng nguyên hàm hoặc gần nguyên hàm (5)Răng bị lung lay và chết tủy (răng bị tổn thương mạnh, lung lay, không tự hồi phục được) (6)Mới mất răng hoặc mất răng lâu ngày tùy vào vị trí và số lượng răng mất, các Bác sĩ qua thăm khám sẽ có kế hoạch điều trị khác nhau.

Mất răng lâu năm, tiêu xương hàm có trồng răng Implant được không?

Sở dĩ răng đứng vững, cứng chắc là bởi phần xương hàm đã nâng đỡ. Vì lão hóa, tai nạn, bẩm sinh… mà bị tiêu xương hàm. Hoặc đối với bệnh nhân mất răng lâu năm, xương hàm tại vị trí này sẽ thoái hóa và tiêu dần đi. Trước khi trồng răng, bác sĩ sẽ tiến hành chụp phim CT khảo sát tình trạng xương. Trường hợp tiêu xương, bác sĩ sẽ can thiệp ghép xương. Cũng đừng lo lắng, qua thăm khám bác sĩ sẽ quyết định phương thức ghép xương trước khi trồng răng Implant cho trường hợp của bạn.

Câu hỏi tiếp theo
  • Trồng răng Implant mất bao nhiêu thời gian?
  • Trường hợp nào có thể trồng răng Implant?
  • Mất răng lâu năm, tiêu xương hàm có trồng răng Implant được không?

Ảnh hưởng trực tiếp từ việc bị mất răng nếu không cấy Implant

  • Tiêu xương hàm, lão hóa sớm và nhanh – Đau đầu, đau khớp thái dương hàm
  • Ảnh hưởng trực tiếp đến khả năng ăn nhai, mất thẩm mỹ
  • Phát âm kém, lo lắng, mất tự tin
  • Chạy răng, ảnh hưởng đến răng lân cận
Xem thêm

Ưu điểm trồng răng Implant tại Lee Merci

  • Phục hình răng đã mất toàn diện, bền chắc, sử dụng trọn đời.
  • Bảo vệ những răng liền kề còn nguyên vẹn.
  • Trụ Implant chất liệu Titanium, đạt chứng nhận chất lượng CE và được FDA chứng nhận an toàn với cơ thể.
  • Ngăn tiêu xương, xô lệch hàm, chức năng ăn nhai và thẩm mỹ như răng thật.
  • Thực hiện cấy ghép trong phòng riêng vô trùng tránh lây nhiễm chéo.
  • Thực hiện cấy ghép với mọi tình trạng mất răng.
Xem thêm

Vì sao nên chọn

Cấy ghép Implant tại Nha Khoa Lee Merci

Hệ thống vô trùng khép kín

Nha khoa Lee Merci trang bị phòng phẫu thuật chuyên dụng đạt tiêu chuẩn của Bộ Y Tế. Thực hiện quy trình khử trùng, vô khuẩn các thiết bị nha khoa, dụng cụ,…đảm bảo cấy ghép Implant an toàn, tránh lây nhiễm chéo trong điều trị.

Vật liệu cao cấp, chính hãng

100% trụ Implant chính hãng từ: Tekka (Pháp), Straumann (Thụy sỹ), Nobel (Mỹ), Hiossen (Mỹ), Dentium (Hàn Quốc) chứng nhận lưu hành quốc tế và được FDA khuyên dùng.

Trang thiết bị hiện đại

Để quá trình cấy ghép Implant diễn ra an toàn và thuận lợi, nha khoa Lee Merci mạnh dạn đầu tư trang thiết bị, máy móc hiện đại, hỗ trợ bác sĩ tối đa trong cấy ghép nha khoa: hệ thống chụp hàm mặt hiện đại CT Conebeam 3D, máy khoan đặt trụ Implant, bộ mũi khoan Implant…

Bác sĩ tận tậm, chuyên môn cao

Quy tụ đội ngũ Y Bác sĩ giàu kinh nghiệm có chuyên môn cao, dẫn dắt bởi BS. Lê Phủ Ngọc Hồ. Luôn tạo sự tin tưởng cho bệnh nhân xuyên suốt quá trình điều trị với chuyên môn giỏi, yêu nghề, thường xuyên cập nhật kiến thức mới, tinh thần trách nhiệm cao, tận tâm trong công việc.

Dịch vụ khách hàng tuyệt vời

Đến với Nha khoa Quốc tế Lee Merci, khách hàng mất răng được tư vấn và cung cấp thông tin khoa học về trồng răng Implant; trải nghiệm dịch vụ đưa đến nơi, về đến chốn với xe Mercedes – Benz; hỗ trợ lưu trú ngay tại trung tâm Thành phố.

  • Vật liệu cao cấp, chính hãng
  • Trang thiết bị hiện đại
  • Bác sĩ tận tậm, chuyên môn cao
  • Dịch vụ khách hàng tuyệt vời

Đăng ký lịch thăm khám miễn phí


    Ưu đãi đặc biệt

    0 ngày
    00 Giờ
    00 Phút
    00 Giây

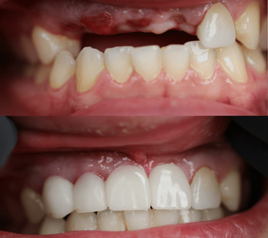
    Hình ảnh trước và sau cấy ghép Implant

    Quy trình cấy ghép Implant

    Bước 1

    Bác sĩ thăm khám, chụp phim CT Cone Beam 3D phân tích tình trạng răng miệng

    Bước 2

    Thực hiện cấy trụ Implant trong điều kiện vô trùng

    Bước 3

    Gắn răng sứ trên Implant, kiểm tra kết quả và độ chịu lực

    Nha khoa Lee Merci luôn đi đầu trong lĩnh vực

    Nha khoa Lee Merci tự hào là cơ sở Nha khoa hàng đầu về cấy ghép Implant với đội ngũ y bác sĩ là các chuyên gia hàng đầu trong lĩnh vực Implant đã thực hiện thành công 100% các ca phục hình răng đã mất từ nhẹ đến phức tạp.

    Nha khoa Lee Merci hướng tới kết quả phục hình răng Implant một cách tối ưu nhất cả về thẩm mỹ và chức năng ăn nhai. Chúng tôi lựa chọn những vật liệu cấy ghép tốt nhất, giúp quá trình hồi phục diễn ra nhanh chóng. Cam kết mang đến hàm răng chất lượng và nụ cười hoàn hảo nhất cho khách hàng.

    Xem thêm

    Đăng ký lịch thăm khám miễn phí


      Bảng giá Implant tại nha khoa Lee Merci

      Implant Hàn Quốc

      Giá: 17.000.000đ

      🎁Giảm còn: 8.900.000 đ🎁

      Implant Mỹ

      Giá: 35.000.000 đ

      Implant Pháp

      Giá: 27.000.000 đ

      Implant Thụy Sĩ

      Giá: 32.000.000 đ

      Khách hàng nói gì về nha khoa Lee Merci

      Video chia sẻ của khách hàng

      Đội ngũ bác sĩ tại nha khoa Lee Merci

      Lê Phủ Ngọc Hồ

      Bác sĩ

      Lê Hồng Tuấn

      Bác sĩ

      Đặng Việt Hà

      Bác sĩ

      Minh Trí

      Bác sĩ

      Quốc Nhật

      Bác sĩ

      Đăng ký lịch thăm khám miễn phí


        Ưu đãi đặc biệt

        0 ngày
        00 Giờ
        00 Phút
        00 Giây